Viele Erwachsene haben den Wunsch nach geraden Zähnen, können sich aber nicht vorstellen, mit einer sichtbaren Zahnspange die Zähne begradigen zu lassen. Mit modernen ästhetischen Behandlungsmethoden sind "unsichtbare" Zahnregulierungen möglich. Folgende Behandlungsoptionen bestehen:
Zahnregulierung mit unsichtbaren, abnehmbaren Schienen:
Hierbei wird die Behandlung virtuell auf Basis der aktuellen Zahnstellung geplant, die Endposition kann im Vorfeld simuliert werden. Wir sehen unser Kunden alle 6-8 Wochen zu Kontrollbehandlungen, die Schienen werden in den meisten Fällen 22h pro Tag getragen, nach 14 Tagen wechselt der Patient die Schienen zu Hause. Beim Essen und zur Zahnpflege können die Schienen abgenommen werden. Ästhetische Korrekturen der Frontzähne können schon nach 7-9 Monaten zum Abschluss gebracht werden.
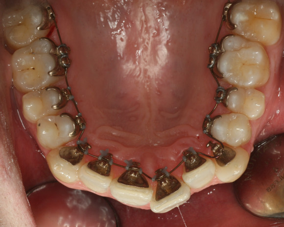
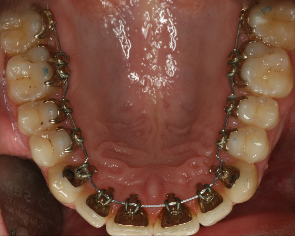
Zahnregulierung mit innen-liegendenBrackets:
Für bestimmte Patienten sind feste Zahnspangen das bessere Therapiemittel. Die Brackets werden individuell für jeden Patienten angefertigt und mit einem spezielle Kleber auf den Zähnen fixiert. Eine Bogensequenz von unterschiedlichen Drahtbögen bringt die Zähne in die gewünschte Position. Von Aussen ist diese Form der Zahnspange nicht sichtbar. Hiermit können nahezu alle Zahnbewegungen durchgeführt werden.



